WHITENING
ホワイトニング
※ホワイトニング治療は公的医療保険の適応外の自費(自由)診療となります。
南海本線『堺駅』直結。
堺市堺区で、歯科衛生士による専門ホワイトニングなら藤田歯科・矯正歯科へ
藤田歯科・矯正歯科では、歯科医院でのみ扱える医療ホワイトニングを提供しています。
医療ホワイトニングは、歯科医師の管理のもと、国家資格を持つ歯科衛生士が施術を担当するため、安全性と効果の両面で優れています。歯の内部に染み込んだ色素まで分解・漂白することで、自然で明るい白さを実現します。
一般的な市販のホワイトニング製品や無資格者が行うセルフホワイトニングとは異なり、高濃度の薬剤を使用できるため、効果の持続性や仕上がりの質が大きく異なります。

このようなお悩み・目的に最適です
- 歯の黄ばみが気になる
- コーヒー、紅茶、ワイン、タバコなどによる着色が気になる
- 加齢による歯の変色をなんとかしたい
- 結婚式、就職活動、成人式などの大切なイベントを控えている
- 人と接する機会が多く、第一印象を良くしたい
- 営業職や接客業で、笑顔に自信を持ちたい
- 写真撮影の機会が多く、白い歯で写りたい
- 清潔感のある口元を手に入れたい

当院のホワイトニングが選ばれる理由
1. 国家資格を持つ歯科衛生士が施術を担当
当院のホワイトニングは、すべて国家資格を持つ歯科衛生士が担当します。口腔内の専門家である歯科衛生士が、一人ひとりの歯質や着色の状態を丁寧に確認し、最適な施術プランを提案します。歯や歯茎の健康状態を見極める専門知識を持っているため、施術中も細やかな配慮を行います。
歯科医院と市販品・セルフホワイトニングの違い
| 歯科医院での 医療ホワイトニング |
市販品・ セルフホワイトニング |
|
|---|---|---|
| 薬剤 | 過酸化水素・過酸化尿素 | ポリリン酸ナトリウムなど |
| 効果 | 歯の内部まで漂白し、明るい白さを実現 | 表面の汚れ除去のみで、漂白効果は限定的 |
| 安全性 | 歯科医師の診断・管理のもとで実施 | 自己判断で使用するためリスクあり |
| 施術者 | 国家資格を持つ歯科衛生士が担当 | 無資格者または本人 |
| 持続期間 | 適切なケアで半年〜1年以上持続 | 数週間〜1ヶ月程度 |
2. 南海本線「堺駅」直結で雨の日も通いやすい
当院は南海本線「堺駅」の駅ビル内(3階)にあり、東口改札を出てエスカレーターで上がればすぐ到着します。駅直結のため、雨の日でも濡れることなく通院できます。
お仕事帰りやお買い物のついでに立ち寄りやすく、堺市堺区はもちろん、堺東、堺市南区、西区、北区など堺市全域からアクセス良好です。また、南海本線沿線の泉大津市、高石市、岸和田市、貝塚市や、南海高野線沿線からも多くの患者様が通院されています。
ホワイトニングは継続的な通院や定期的なメンテナンスが大切です。駅直結という立地だからこそ、無理なく続けられます。

3. 色戻りしにくいホワイトニングと長期的なメンテナンス
当院では、一時的に歯を白くするだけでなく、「白さを長く維持すること」にこだわっています。
施術後のアフターケアについても丁寧にご説明し、日常生活で注意すべきポイントやホームケアの方法をお伝えします。定期的なメンテナンスやリタッチ(定期的な追加ホワイトニング)と組み合わせることで、色戻りを防ぎ、美しい白さをより長期間キープできます。

4. 矯正・審美・予防も含めた、総合歯科ならではのトータルケア
藤田歯科・矯正歯科は、ホワイトニングだけでなく、矯正歯科、審美歯科、予防歯科など、幅広い診療を行う総合歯科です。各分野に専門医・認定医が在籍しており、「白くする」だけでなく「美しく整える」「健康を守る」といったトータルな口元のケアが可能です。
例えば、矯正治療後に古い詰め物や被せ物を白く美しいセラミックに交換したり、クリーニングで歯周病予防を行ったりと、複合的なアプローチで理想の口元を実現します。一つの医院で完結できるため、通院の負担も少なくスムーズです。

CASE
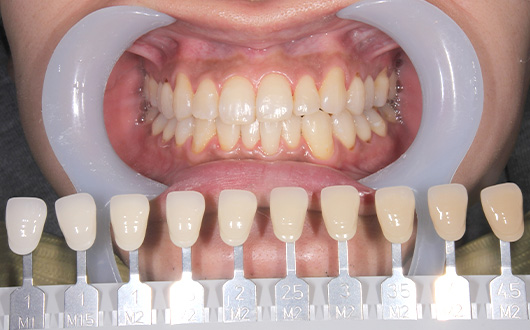
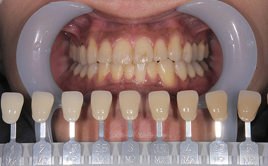
ホワイトニングの症例
デュアルホワイトニング
治療前
治療後
| 年齢 | 25歳 |
|---|---|
| 性別 | 男性 |
| 主訴 | 歯を白くしたい |
| 治療内容 | オフィス1回、ホームブリーチ、オフィス2回目 |
| 治療期間 | 2週間 |
| 通院回数 | 3回 |
| 費用 | 66,000円 |
| リスク・副作用 | 一時的な冷水痛などが生じる可能性あり |
オフィスホワイトニング
治療前
治療後
| 年齢 | 32歳 |
|---|---|
| 性別 | 男性 |
| 主訴 | 結婚式を前に歯をきれいにしたい |
| 治療内容 | ステインクリーニング、オフィス2回 |
| 治療期間 | 1日 |
| 通院回数 | 1回 |
| 費用 | ステインクリーニング:8,800円 オフィス:2セット 44,000円 |
| リスク・副作用 | 一時的な冷水痛などが生じる可能性あり |
ホームホワイトニング
治療前
治療後
| 年齢 | 65歳 |
|---|---|
| 性別 | 女性 |
| 主訴 | 歯を白く綺麗にしたい |
| 治療内容 | ホームブリーチ、リタッチ2回 |
| 治療期間 | ホームブリーチ2週間、半年毎のリタッチ(ジェル追加)2回で1年間 |
| 通院回数 | 5回 |
| 費用 | ホームブリーチ:33,000円 リタッチ(ジェル追加):4400円×2 |
| リスク・副作用 | 一時的な冷水痛などが生じる可能性あり |
FLOW
ホワイトニングの流れ
ご相談

まずはお電話にて、気になることはお気軽にご質問ください。但し、虫歯や歯周病がある場合は、先にそちらの治療を優先する必要があります。

精密検査・治療計画のご説明

お口の中を詳しく検査し、現在の歯の色を測定します。患者様のご希望をお伺いしながら、最適な治療計画をご提案します。治療期間、回数、費用など、詳しくご説明します。ご納得いただけましたら、治療を開始します。

施術開始

オフィスホワイトニングの場合
歯のクリーニングを行い、表面の汚れを除去した後、高濃度のホワイトニング薬剤を塗布します。施術時間は約60分です。
ホームホワイトニングの場合
患者様専用のマウスピースを作製するため、歯型を取ります。マウスピースが完成したら、使用方法や薬剤の塗布方法を詳しくご説明します。ご自宅で毎日2時間、マウスピースを装着していただきます。

アフターケア・定期メンテナンス

ホワイトニング後は、色戻りを防ぐためのアフターケアが重要です。施術直後は着色しやすい食べ物(コーヒー、紅茶、カレー、ワインなど)を控えることをおすすめします。
定期的なメンテナンスやリタッチ(定期的な追加ホワイトニング)を受けることで、白さを長期間維持できます。
色戻りが気になってきたら、リタッチ(追加のホワイトニング)も可能です。

料金表
※自費診療の料金となります。
※料金は治療内容や回数により異なる場合があります。詳しくはお問い合わせください。
お支払い方法
当院では、以下のお支払い方法をご利用いただけます。
- 現金
- クレジットカード(VISA、MasterCard、JCB、AMEX、Diners など)
- デンタルローン(分割払い)
医療費控除について
ホワイトニングは基本的に医療費控除の対象外となりますが、審美目的ではなく、治療の一環として行う場合は対象となる可能性があります。詳しくは税務署または税理士にご相談ください。
なお、虫歯治療や歯周病治療など、保険診療と併せて行った治療費は医療費控除の対象となります。領収書は大切に保管してください。
ホワイトニング治療に伴う一般的なリスクや副作用について
- 施術中や施術後に、一時的に歯がしみる感覚(知覚過敏)が出ることがあります。通常は数時間から1日程度で治まりますが、症状が続く場合はご相談ください。
- 効果には個人差があり、歯質や着色の度合いによって白さの度合いが異なります。
- 人工の詰め物や被せ物(セラミック、金属など)は白くなりません。施術後に色の差が目立つ場合は、詰め物や被せ物の交換が必要になることがあります。
- ホワイトニング直後、着色しやすい食べ物や飲み物(コーヒー、紅茶、赤ワイン、カレーなど)を摂取すると、色戻りが早くなる可能性があります。
- 妊娠中・授乳中の方、未成年の方、無カタラーゼ症の方、重度の知覚過敏の方はホワイトニングを受けられない場合があります。
- ホームホワイトニングでは、マウスピースの装着時間を守らないと十分な効果が得られません。
- 薬剤を過剰に使用すると、歯茎が白くなったり、ヒリヒリしたりすることがあります。使用方法を正しく守っていただくことが重要です。
- 効果の持続期間は、ケアの方法や生活習慣によって異なります。定期的なメンテナンスをおすすめします。
※気になる症状がある場合は、すぐにご連絡ください。適切に対応いたします。
感染症対策
当院では、より安全に歯科治療を受けていただけるよう、以下のような取り組みを行っております。
院内での取り組み
- スタッフの体調管理の徹底
- スタッフのマスク・グローブの着用
- 治療器具の滅菌・消毒の徹底
- 診療台・待合室の定期的な消毒
- 待合室・診療室の換気の徹底
- 玄関・待合室へのアルコール消毒液の設置
患者様へのお願い
来院時の検温・手指消毒にご協力ください。
皆様に安心して通院いただけるよう、感染症対策に努めております。ご協力をお願いいたします。
よくある質問
ホワイトニング中や施術後に、一時的に歯がしみる感覚(知覚過敏)が出ることがあります。これは薬剤が歯の内部に浸透する際に起こる現象で、通常は数時間から1日程度で治まります。もし施術中に痛みを感じた場合は、すぐにお伝えください。適切に対応いたします。知覚過敏が心配な方には、施術前後に知覚過敏抑制剤を使用するなど、痛みを最小限に抑える工夫も行っています。
オフィスホワイトニングの場合、複数回の施術で白さを実感いただけます。ただし、効果には個人差があり、もともとの歯の色や着色の度合い、歯質によって異なります。ホームホワイトニングは、ゆっくりと白くしていくため、2〜4週間かけて徐々に効果が現れます。デュアルホワイトニングは、オフィスとホームを併用するため、最も早く白さを実現できます。カウンセリング時に、患者様の現在の歯の色を確認し、どの程度の白さを目指せるかをご説明します。
ホワイトニングの持続期間は、食生活やケアの方法によって個人差があります。コーヒー、紅茶、赤ワイン、カレーなどの着色しやすい飲食物を頻繁に摂る方は、色戻りが早い傾向があります。逆に、こまめなブラッシングや定期的なメンテナンス、リタッチ(定期的な追加ホワイトニング)を行っている方は、白さが長持ちします。3〜6ヶ月ごとにクリーニングやリタッチを行うことで、美しい白さを維持できます。
もちろんです。当院は南海本線「堺駅」の駅ビル内にあり、堺駅直結のため、堺市内はもちろん、近隣エリアからも多くの患者様にご来院いただいています。
堺市堺区、堺東、堺市南区、北区、西区、中区、東区など、堺市全域からアクセス良好です。また、南海本線沿線の泉大津市、高石市、岸和田市、貝塚市、南海高野線沿線からも通院される方が多くいらっしゃいます。駅直結で雨の日も濡れずに来院できる利便性が、多くの患者様に選ばれている理由の一つです。お気軽にお越しください。
ホワイトニング直後は、歯の表面を保護している被膜が一時的に剥がれているため、着色しやすい状態になっています。施術後24〜48時間は、着色しやすい食べ物や飲み物を控えることをおすすめします。
控えた方が良いもの:コーヒー、紅茶、赤ワイン、カレー、ミートソース、醤油、ソース、色の濃い野菜(トマトなど)、タバコなど。
おすすめの食べ物:水、牛乳、白ワイン、白身魚、鶏肉、豆腐、白米、うどん、パンなど、色の薄い食べ物。
まずはお気軽に
ご相談ください
※お電話の際は「ホワイトニングについて」とお伝えいただくとスムーズです。
お電話でのご予約・お問い合わせはこちら
診療時間:月〜金 10:00〜13:00 / 14:30〜19:00 土 10:00〜13:00 / 14:30〜18:00
休診日:日曜・祝日
ホワイトニングに関するブログ記事
ホワイトニングについてもっと詳しく知りたい方は、こちらの記事もご覧ください。







